-
Introducing the Stem Cell and Organoid Core
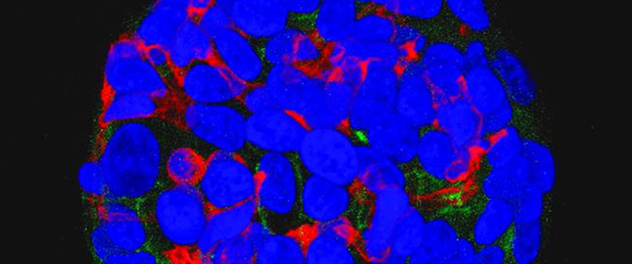
The Stem Cell and Organoid Core provides full-service support to produce human-induced pluripotent stem cells and isolate and expand human tissue-derived adult stem cells.
-
Induced pluripotent stem cell services
The Stem Cell and Organoid Core supports and accelerates research across Mayo Clinic by providing routine access to human stem cells and microphysiological systems and delivering state-of-the-art stem cell and organoid development services.
-
Future induced pluripotent stem cell services
By the second quarter of 2025, the Stem Cell and Organoid Core also will offer more induced pluripotent stem cell services. Additional service lines by the end of 2025 will greatly expand support for organoid and microphysiological systems development.
-
Tissue-derived stem cell services
By the second quarter of 2025, the Stem Cell and Organoid Core also will offer tissue-derived stem cell services.
Overview
The Stem Cell and Organoid Core currently provides researchers with access to high-quality human induced-pluripotent stem cell (iPSC) production, expansion, validation and quality control services. Services under development include production of iPSC-derived organoids and microphysiological systems, as well as scalable provision of healthy control and genetically modified iPSC lines for research and test development. In the near future, the core also will support the production of adult tissue-derived stem cells and organoids.
Human-induced pluripotent stem cells for research and test development
Fibroblasts isolated from a skin punch biopsy are reprogrammed into induced pluripotent stem cells (iPSCs). Then the iPSCs are used to generate numerous human cell types using directed differentiation, an application that produces a potentially unlimited source of cells and tissues that can be manipulated. These human cells can be combined to form 3D "organoids" that resemble the structure and function of a patient's own tissue. Organoids and other microphysiological systems can be used for drug development and screening. They also can form the basis for transplant and cell replacement therapies.